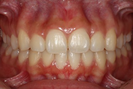
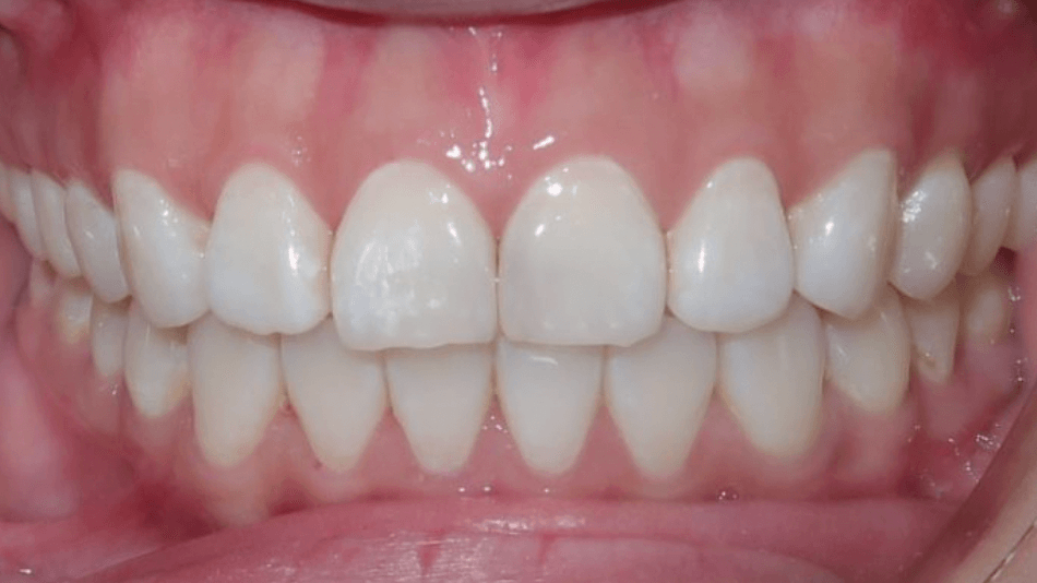
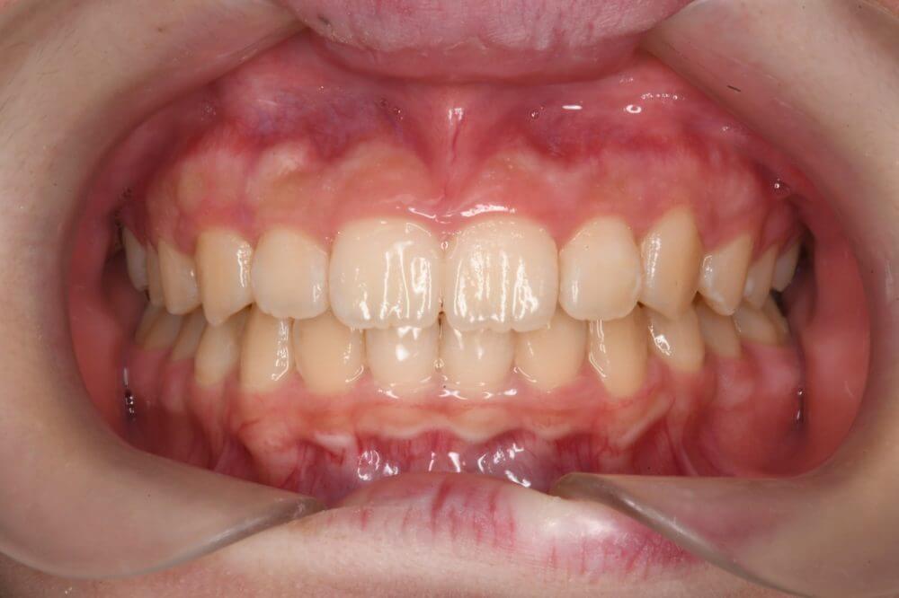
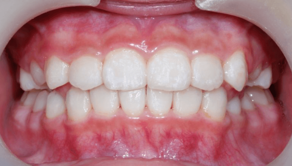
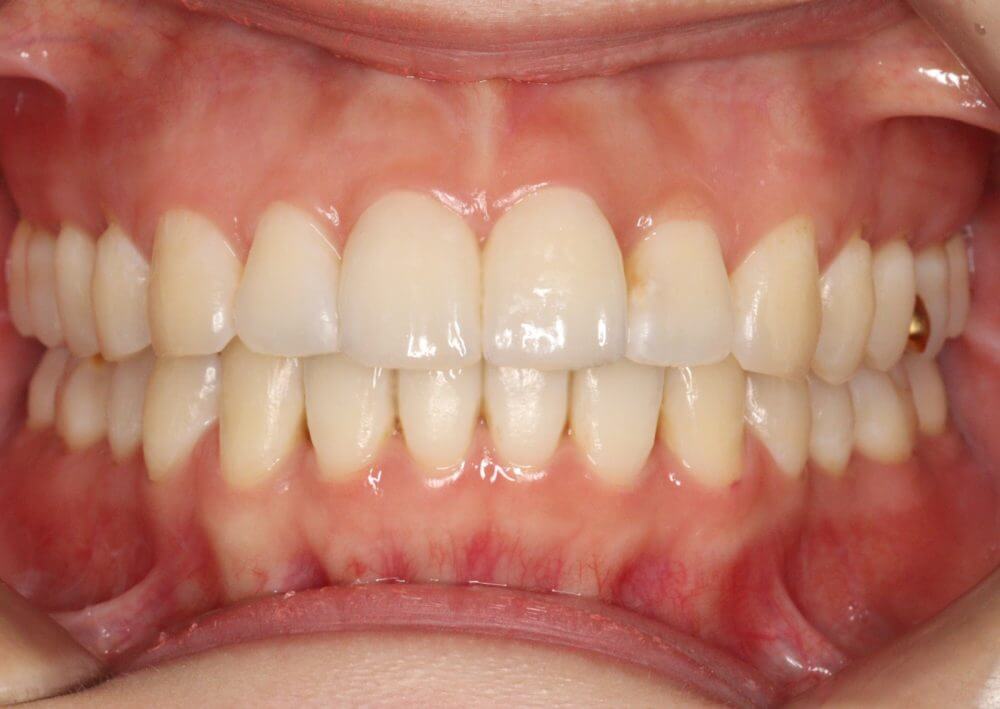
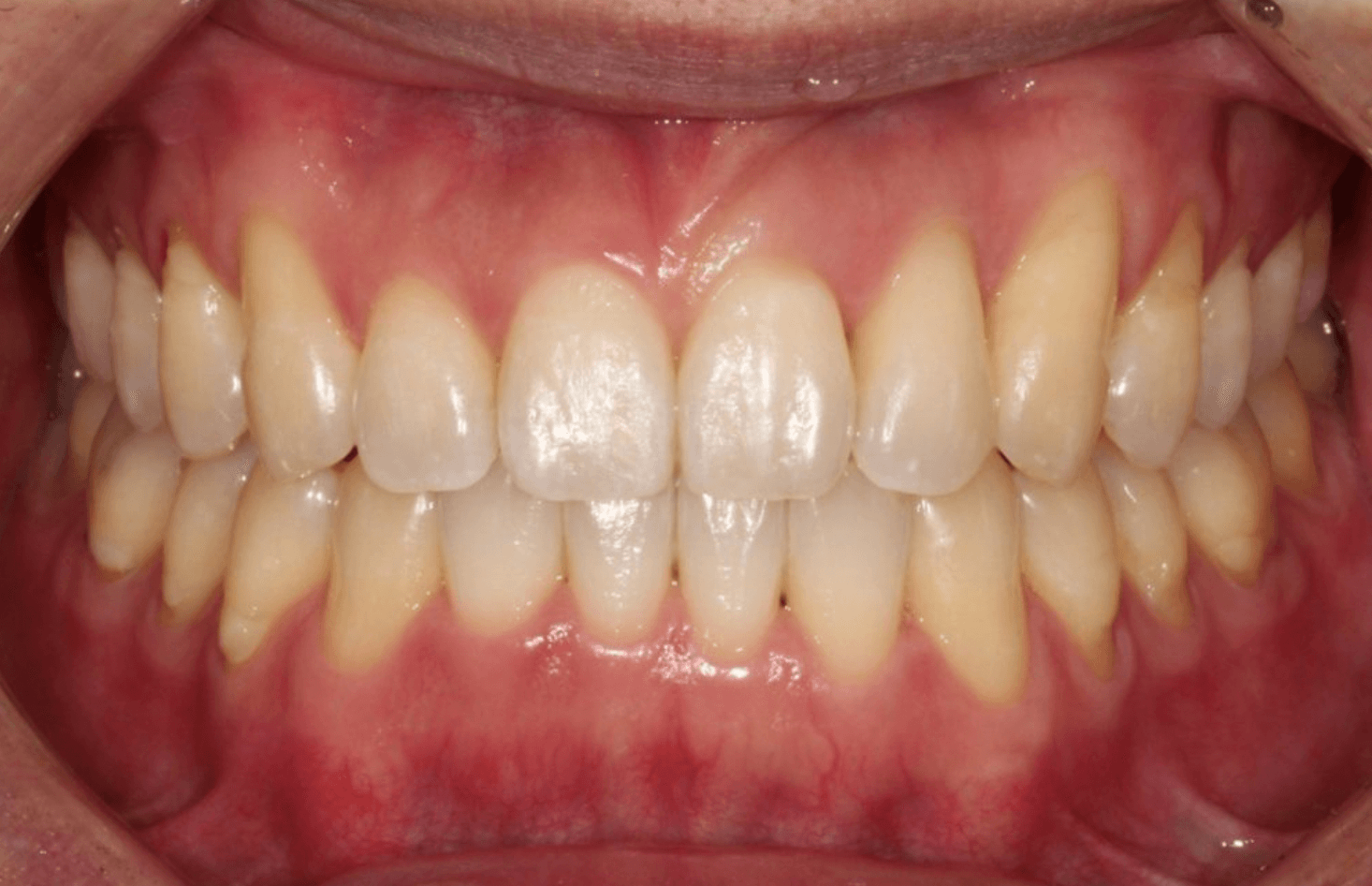
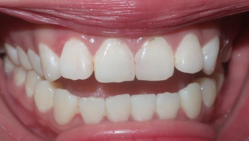
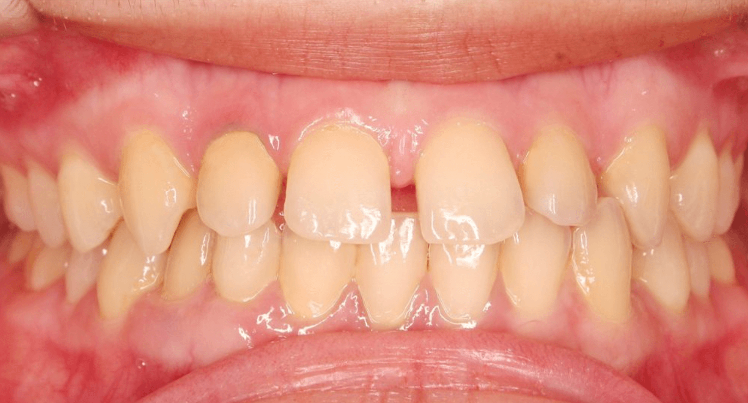
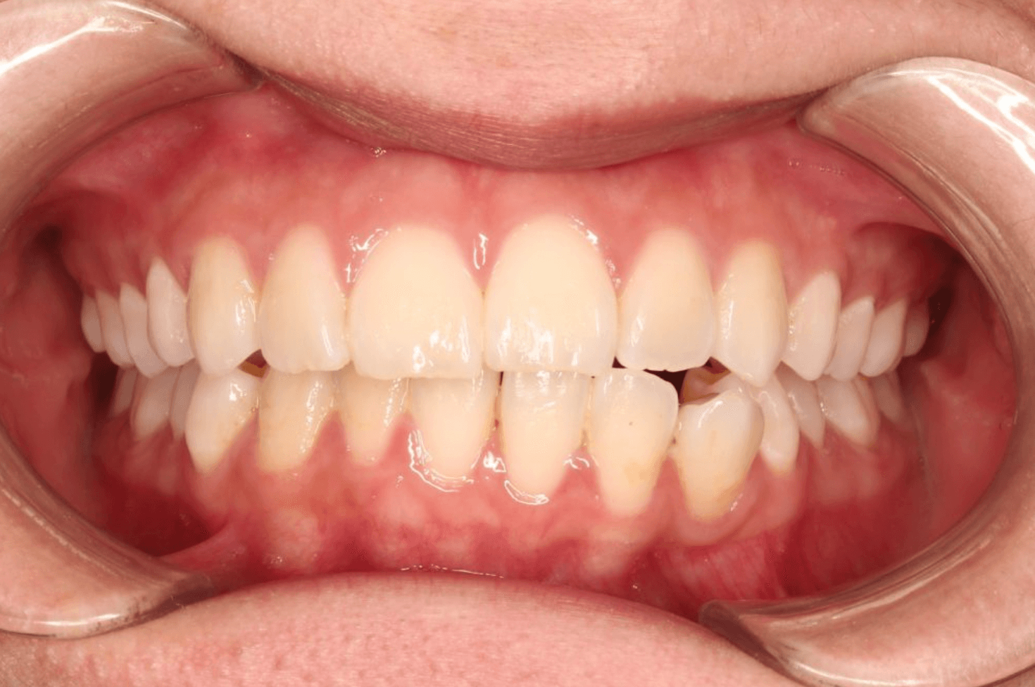
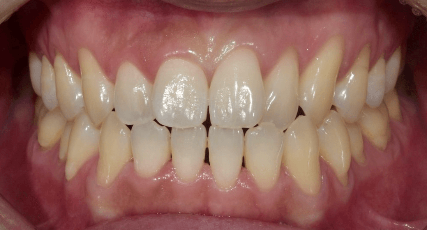
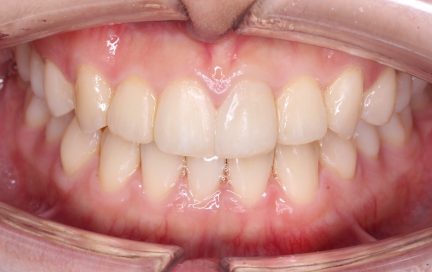
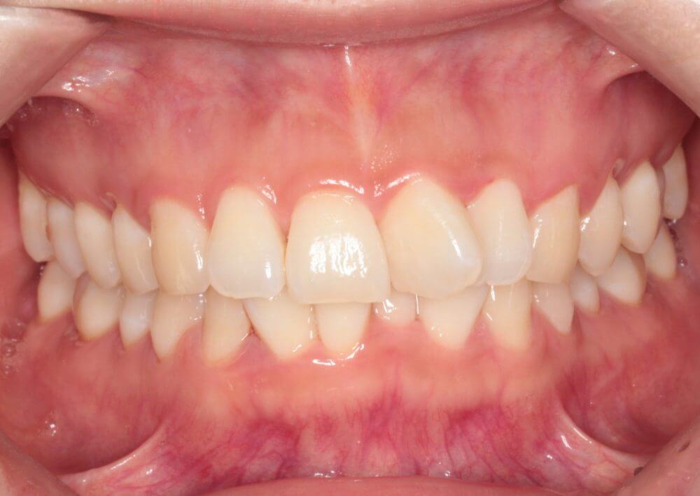
Invisalign smiles & reviews speak for themselves

Every smile is backed by Dental Corner Smile Satisfaction Promise. Love your results, or we’ll work with you to get you where you need to be.

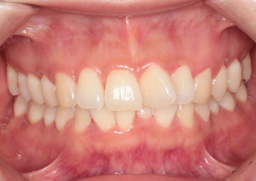
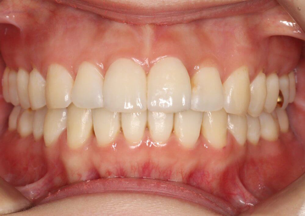
Straighten Your Smile the Smarter Way

Straightening your teeth not only improves the look of your smile, it also improves the function of your smile.

Quick results

You can see results in as little as 12 months.

Doctor-directed care

Your treatment will be supervised in person by a real Dental Corner doctor.

Affordable dental care

Financing options, insurance coverage and everyday low prices? Yes.

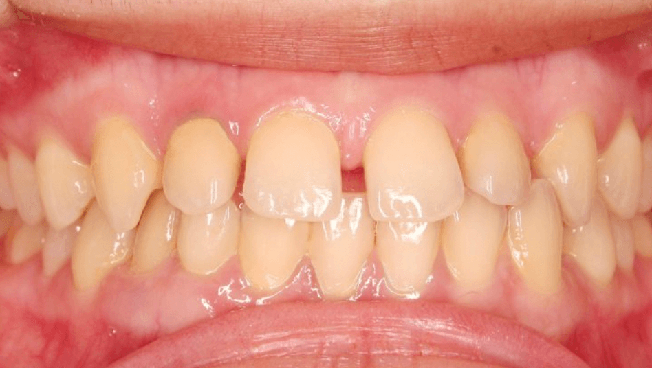
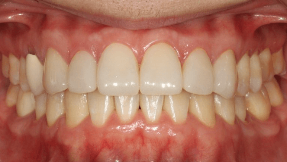
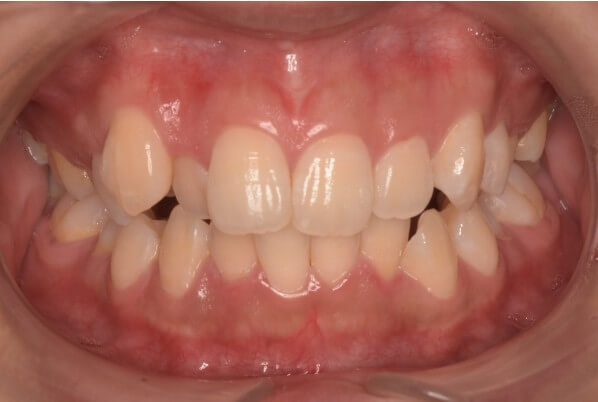
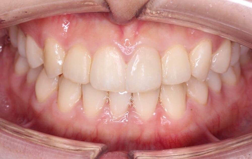
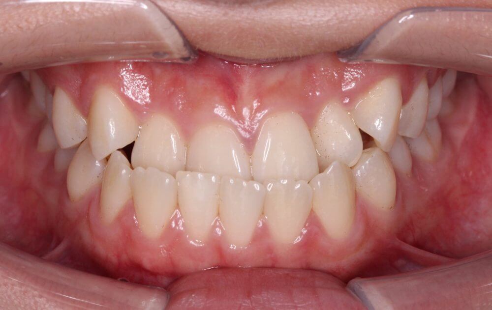
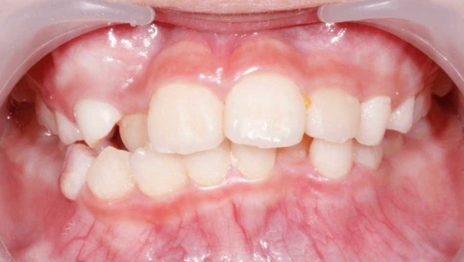
Which best describes your smile?

Overbite
Underbite
Crossbite
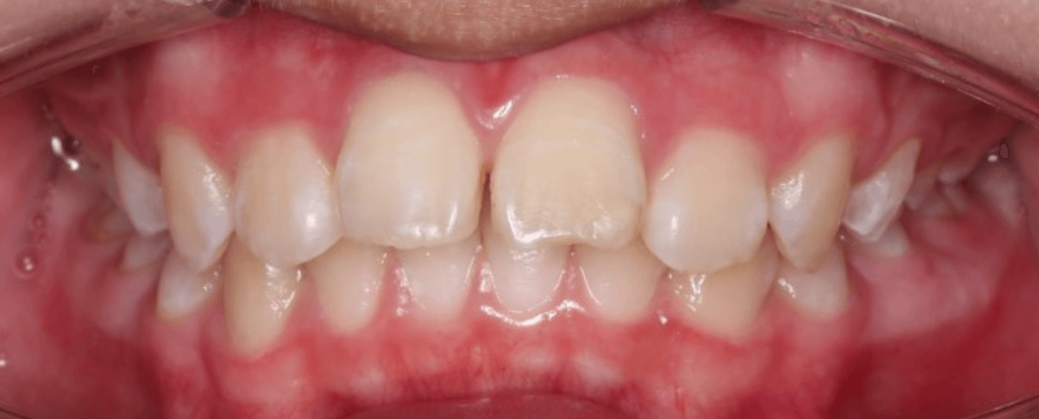
Gap teeth
Open Bite
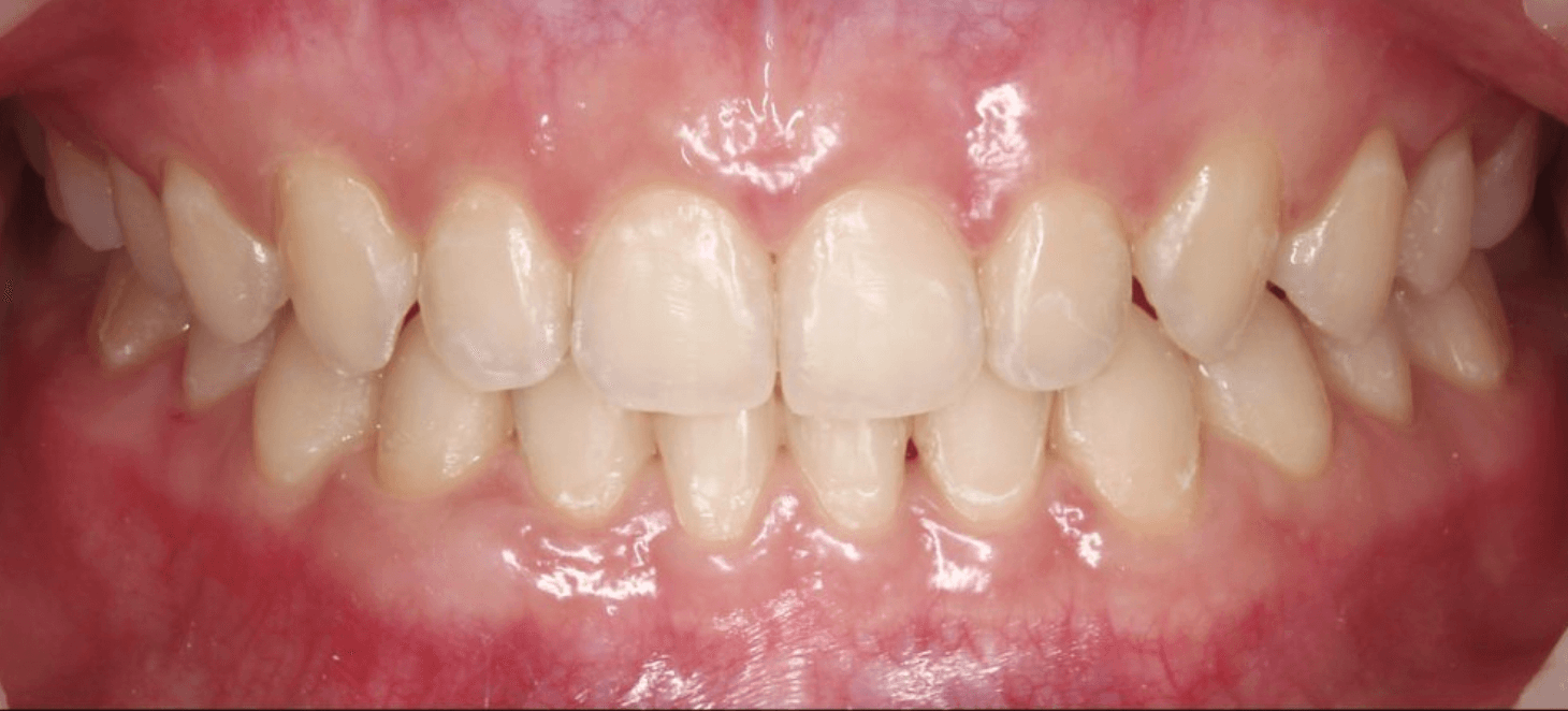
Crowded Teeth
Baby and permanent teeth
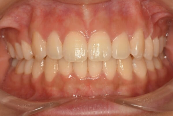
Generally straighter teeth

Why Our Patients Love Us

I’ve be coming to Dental Corner since I moved here from California 10 years ago. I even moved an hour away, but it’s worth the trip. Great staff makes you feel very comfortable. From humble beginnings to state of the art Procedures. Looking forward to the next 10 years.

I definitely recommend this place to anybody with dental issues.
The best staff that I’ve ever encountered.
Very helpful, respectful, understanding & patient with their patients.
I let them know I was claustrophobic & felt uncomfortable getting this work done & this
amazing staff & doctor did everything to make me comfortable & able to get through the necessary procedure.
I truly appreciate all of the assistance from the beginning to the end.
I will definitely come back here for any type dental work needed.
Thank you.
I give this place 10⭐
5 stars ain’t enough.

10/10! I went in last minute in horrible pain and they fit me right in. I think I was in the waiting for for 2 minutes. They immediately took X-rays and started the numbing process. I’ve never been so happy to get shots in the mouth ????. The staff was incredibly kind and helpful they explained what they could do and the price point and varying options before doing any work. The building was clean and neat and the rooms were also very clean. Would definitely recommend

I absolutely have nothing but good things to say. The staff is SO friendly and helpful and Dr. Barber is truly outstanding. She cares and they all go the extra mile to make you feel comfortable. You will not regret going to the Dental Corner.

I’ve been coming here for the past 3 years and I love it! I had my wisdom teeth take out and they made sure I had my medication and checked up on me after.They are always friendly, attentive and professional.

I went to the Dental Corner in excruciating pain, I was so grateful they fit me into their schedule as emergency care, this is when I met Dr Motaref and his staff. I share with you from the receptionist to the dental staff, all were exceptional in every way. I had my final visit today, I literally feel my mouth is “happy”. I am so grateful and highly recommend you give them a call the next time you need dental care.

  • Early Morning Appointments
  • Same-Day Appointments
  • Walk-ins are Welcome
  • After-Hours Dentistry / Care

Ready to make your appointment?

It is Dental Corner’s goal to provide you with optimal care in a relaxed environment.

Contact us today to get started.

Click to Call