Invisalign in Kansas City,
Clear Braces for a Straighter Smile
Discreet. Comfortable. Convenient. Discover a better way to straighten your teeth with Invisalign.
Invisalign Aligners & Teeth Straightening
Kansas City, MO
If you’ve been thinking about straightening your teeth but don’t want the look or feel of traditional braces, Invisalign may be the perfect solution. Invisalign uses a series of custom-made, clear aligners that gently and gradually shift your teeth into proper alignment. Because the aligners are transparent and fit snugly over your teeth, most people won’t even notice you’re wearing them.
Unlike metal braces, Invisalign aligners are removable. That means you can take them out to eat your favorite foods and maintain your regular brushing and flossing routine without special tools or techniques. The aligners are smooth and comfortable, designed specifically for your smile using advanced digital scanning technology to ensure a precise fit.
Invisalign can treat a wide range of orthodontic concerns, including crowded teeth, gaps, overbites, underbites, and crossbites. During your consultation, we’ll evaluate your smile, discuss your goals, and create a personalized treatment plan to help you achieve straighter teeth and improved oral health. With Invisalign, you can transform your smile comfortably, discreetly, and confidently.
Benefits of Invisalign
- Virtually invisible clear aligners
- Removable for eating, brushing, and flossing
- More comfortable than traditional braces
- No metal brackets or wires
- Fewer office visits in many cases
- Custom-designed for precise, gradual tooth movement
- Predictable results using advanced 3D imaging technology
- Suitable for teens and adults
“I had a wonderful experience with aligner orthodontic treatment. The aligners were very comfortable and easy to wear, and I loved being able to remove them at mealtimes. It made eating simple and allowed me to maintain excellent oral hygiene throughout my treatment. I’m extremely happy with the results.”
-Neda A.
Why Choose Us
At Dental Corner, we make Invisalign treatment simple, comfortable, and personalized. Using advanced digital scanning technology, we create precise treatment plans — no messy impressions required. Every smile is unique, which is why we design customized aligner plans tailored to your goals and lifestyle. Conveniently located in Kansas City with flexible, patient-friendly hours, we make it easy to achieve the confident smile you deserve.
Invisalign Corrects a Variety of Conditions
Invisalign in Kansas City
Underbite
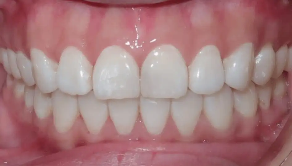
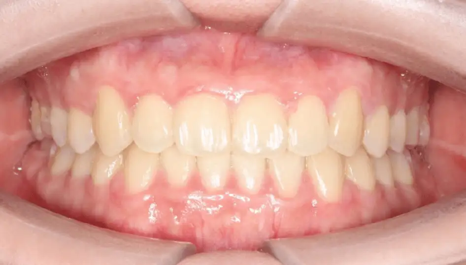
Straighter Teeth
Overbite
Gapped Teeth
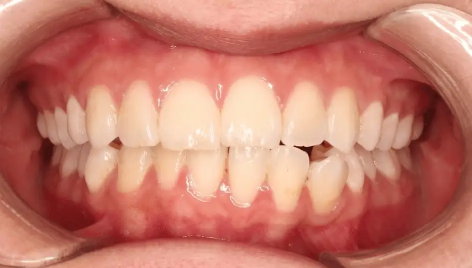
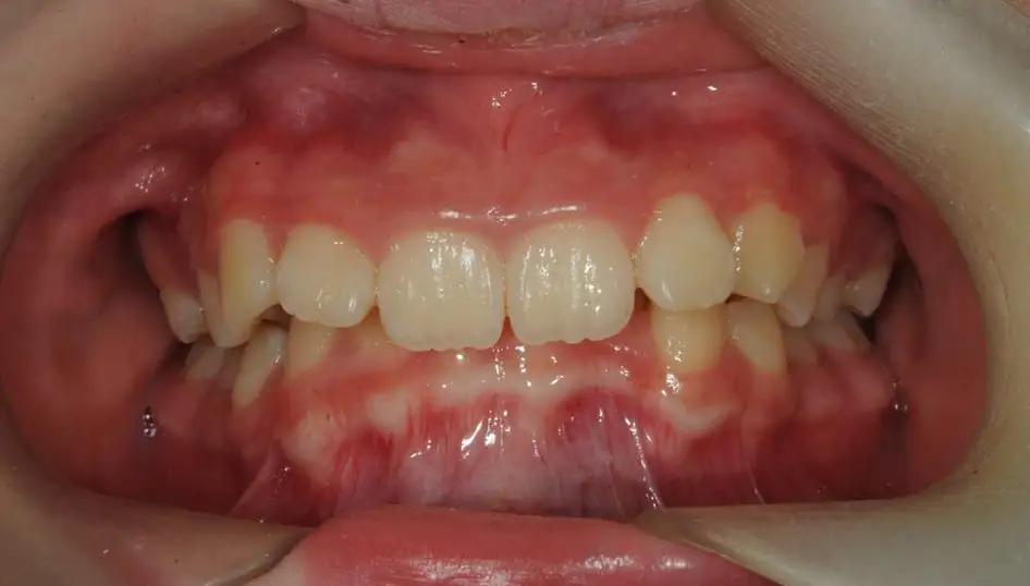
Crowded Teeth
Crossbite
Openbite
Baby-to-Permanent
Invisalign Patient Results
Dental Corner of Kansas City
Invisalign FAQs
Kansas City, MO
How does Invisalign work?
Invisalign uses a series of custom-made, clear aligners that gradually shift your teeth into proper alignment. Each set of aligners is worn for about 1–2 weeks before moving to the next set in the series. The aligners are designed using advanced digital scanning technology to ensure precise, predictable results.
How long does Invisalign treatment take?
Treatment time varies depending on your specific case, but most patients complete Invisalign treatment in 6 to 18 months. During your consultation, we’ll create a personalized treatment plan and provide a more accurate timeline.
Is Invisalign painful?
You may feel mild pressure or tightness when switching to a new set of aligners, but this is a sign the treatment is working. Most patients find Invisalign significantly more comfortable than traditional braces because there are no metal brackets or wires.
How many hours a day do I need to wear my aligners?
For best results, Invisalign aligners should be worn 20–22 hours per day. They should only be removed for eating, drinking (anything other than water), brushing, and flossing.
How much does Invisalign cost in Kansas City?
The cost of Invisalign varies depending on the complexity of your case and the length of treatment. During your consultation, we’ll provide a clear cost estimate and review insurance coverage and flexible financing options to make treatment affordable.
Is Invisalign covered by insurance?
Many dental insurance plans provide orthodontic benefits that may cover a portion of Invisalign treatment. Our team will help verify your benefits and explain your coverage in detail.
The first step is scheduling a consultation at our Kansas City office. We’ll perform a digital scan, discuss your goals, and create a customized treatment plan designed just for you.
The first step is scheduling a consultation at our Kansas City office. We’ll perform a digital scan, discuss your goals, and create a customized treatment plan designed just for you.
